services

Periodontics

Bone Graft

A bone graft procedure at TUTH Dental supports bone regeneration by adding material to areas lacking sufficient bone, often to prepare for dental implants. This procedure strengthens and stabilizes the jaw, promoting better structural support for future dental work. The graft can use natural or synthetic materials, tailored to meet each patient’s specific needs, helping restore bone density and improve oral health.

A bone graft procedure at Tuth Dental supports bone regeneration by adding material to areas lacking sufficient bone, often to prepare for dental implants. This procedure strengthens and stabilizes the jaw, promoting better structural support for future dental work. The graft can use natural or synthetic materials, tailored to meet each patient’s specific needs, helping restore bone density and improve oral health.

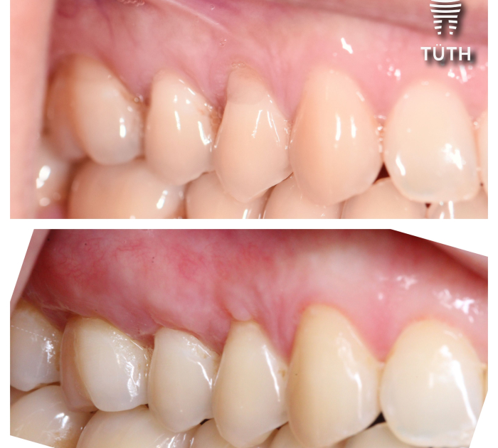
General disclaimer: The results shown are examples only and not a guarantee, and all outcomes are subject to the circumstances of the individual patient.

General disclaimer: The results shown are examples only and not a guarantee, and all outcomes are subject to the circumstances of the individual patient.

Gum Graft

At TUTH Dental in Richmond, we offer advanced bone graft and gum graft procedures to restore and maintain your oral health. Bone grafting is essential for patients who have experienced bone loss due to periodontal disease or tooth loss, providing a solid foundation for dental implants or other restorations. Gum grafting addresses receding gums, protecting tooth roots and enhancing the appearance of your smile. Our expert team uses the latest techniques to ensure successful grafting procedures, promoting tissue regeneration and optimal oral health. Trust TUTH Dental for effective and compassionate care that revitalizes your smile.

Deep Clean

Ensure your oral health with a professional deep clean at TUTH Dental in Richmond. Our deep cleaning service, also known as scaling and root planing, targets the removal of plaque and tartar buildup below the gumline, preventing and treating gum disease. This thorough cleaning procedure reduces inflammation and promotes the healing of gum tissues, preventing further dental issues. Our skilled hygienists use advanced tools and techniques to provide a comfortable and practical deep cleaning experience, helping you maintain healthy gums and a bright smile. Choose TUTH Dental for comprehensive dental care that maintains your oral health.

Pocket Reduction Surgery

TUTH Dental in Richmond offers pocket reduction surgery to treat advanced periodontal disease and improve gum health. This surgical procedure reduces the depth of periodontal pockets, where bacteria thrive and cause inflammation and bone loss. By eliminating these pockets, we help prevent further damage and promote the healing of gum tissues. Our experienced team ensures the surgery is performed with precision and care, providing a healthier foundation for your teeth. Trust TUTH Dental for expert periodontal treatments that protect and enhance oral health.